Standart Panoramik
Standart Panoramik röntgen, alt ve üst çene kemiğinin, kemik içindeki dişlerin, maksiller sinüslerin, çene eklemlerinin görüntülendiği, ağız içi hastalıkların, özellikle diş ve çene kemiği gibi sert doku ile ilgili olanların teşhisinde, çene ve dişlerle ilgili operasyonlardan önce hekimin görmesi gereken önemli bir röntgendir.
Panoramik röntgen, diş hekimleri için ağızdaki mevcut dişlerin tamamını, gömük dişleri ve mevcut dişlerde bulunan çürükleri, süt dişlerinin sürme durumlarını, daimi dişlerin kemik içindeki pozisyonlarını, kemik yıkımları ve kırıkların tespitini, az sayıdaki dental implantların planlanması, ağız içinde yapılan tüm tedavilerin periyodik kontrollerin takibi, kist ve tümoral oluşumlarla ilgili erken teşhis olanağı sağlayan önemli bir radyografidir. Ayrıca 40 yaş üstündeki tüm bireylerden, şikayeti olsun olmasın panoramik röntgen çekilmesi, klinik belirti vermeyen hastalıkların ve kemik patolojilerinin belirlenmesi açısından önemlidir. Ayrıca ağız içi radyografilerin alınmasında yaşanan kusma refleksi vb. olumsuz durumlarda da tercih edilmektedir…
Tüm dişlerin tek seferde görüntülenmesi, seri periapikal çekimlere oranla hastanın daha az radyasyona maruz kalmasını sağlarken hekime de genel bir değerlendirme yapabilme şansı tanır.
Bu görüntülerde dijital sistemin kullanılması da görüntü kalitesini artırmakta ve kişinin aldığı radyasyon miktarını belirgin şekilde azaltmaktadır.
Ön Bölge Scanogram (Kalın Slice)
Bu çekim modu DigiDENTA'da kullanılan son teknoloji ürünü cihazlarda bulunmaktadır.

Panoramik röntgenlerde yaşanan sorunlardan en önemlisi ön bölgedeki görüntü bozulmalardır. Bunların başlıca nedenleri; dişlerdeki rotasyonlar, çapraşık dişler, öne fırlak dişler, alt çenenin üst çeneyle aynı düzlemde olmaması (daha geride olması), alt çenedeki ön dişlerin olması gerekenden çok daha yatık olması, alt çenenin anatomik olarak daha küçük ve geride olması vb. nedenlerdir.
Kalın slice ön bölge görüntüsüyle panoramiklerdeki görüntü kayıplarını gidermek mümkündür. Görüntü kaybı oluşan panoramik röntgenlerde, uzmanımızın gerekli gördüğü durumlarda bu çekim modu uygulanmaktadır.
Çocuk Panoramik
Çocukların kafa yapısı küçük olduğundan Çocuk panoramik tercih edilir, bu programda panoramik çerçevesi daha küçük olduğundan radyasyon miktarı da azaltılmış olur.
Bitewing
Sağ ve Sol Molar- Premolar bölgelerdeki dişlerin detaylı incelenmesinde kullanılır. Özellikle ara yüz incelemelerinde ve molar dişlerdeki arayüz ve kanal süperpozisyonları minimize edilir. Ayrıca Molar - Premolar diş bölgesindeki implant kontrollerinde daha net sonuçlar alınabilir.
Metal Artifaktsız Panoramik
Ağızda; dolgu, kron köprü, protez, implant gibi metal oluşumlar görüntüler üzerinde belli belirsiz kirlilikler oluşturabilir. Bu panoramik programında bu yansımalar minimize edilerek daha temiz görüntüler elde edilebilir.
Bölümlü Panoramik
Sağ Dentisyon, Sol Dentisyon olarak çene iki ayrı bölümde görüntülenir. Kontrol radyografilerinde veya hastanın sadece sınırlı bölgelerinin görüntülenmesinde kullanılır.
Sefalometrik Röntgen
Sefalometrik röntgen daha çok ortodontik ve ortognatik cerrahi gerektiren durumlarda kullanılan, sert kemik dokular ve yumuşak dokuların görüntülendiği bir röntgendir. Sefalometrik röntgenlerde kafa, ön (anterior), arka (posterior) ve yan (lateral) yönlerden alınabilmektedir.
El Bilek radyografisi
Ortodontik tedavi planlamasında çocuk hastaların kemik yaşını tespit etmek için kullanılır.
TME (Temporomandibular Eklem)
Sağ ve Sol Temporomandibular eklem ağız açık ve kapalı olarak lateral ve Posterior Anterior yönlerden görüntülenir. Bu radyografide sert dokular görüntülenir. Temperomandibular eklem bozukluğunun nedenini tam olarak belirlemek çok zordur.
Aproksimal Panoramik
Aproksimal Panoramik Röntgen çekim modunda, cihaz görüntü alanına ışınları daha dik pozisyonda gönderir, böylece horizontal eksende görüntü açılmış olur. Standart Panoramik röntgende oluşan özellikle Küçük Azı ve Büyük Azı bölgelerde Cihazın Dönme prensibinden kaynaklanan Magnifikasyon sapmaları da minimize edilmiş olur. Bu nedenle Standart Panoramik röntgendeki süperpozisyonlar, Aproksimal Panoramik röntgende büyük ölçüde önlenebilmektedir.
Dolayısıyla arayüz çürüklerini daha iyi görme imkanı sağlamaktadır. Bu görüntü hastanın gerçek görüntüsüne en yakın panoramik röntgendir.
Aşağıda Standart Panoramik Röntgen ve Aproksimal Panoramik Röntgen görüntüleriyle ilgili örnekleri görebilirsiniz.

1.1 Standart Panoramik Röntgen Örnek 1

1.2 Aproksimal Panoramik Röntgen Örnek 1

2.1 Standart Panoramik Röntgen Örnek 2
2.2 Aproksimal Panoramik Röntgen Örnek 2
3.1 Standart panoramik röntgende 48 nolu diş
3.2 Aproksimal panoramik röntgende 48 nolu diş
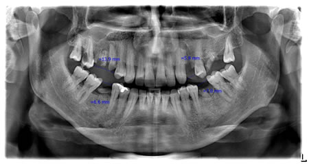
4.1 Standart Panoramik Röntgende Ölçümler
4.2 Aproksimal Panoramik Röntgende Ölçümler
Dental Tomografi
Dental Volümetrik Tomografi (DVT) cihazı baş-boyun bölgesi için özel olarak hazırlanmış yeni bir tomografi cihazıdır. Hasta çok az miktarda radyasyona maruz kalacak şekilde istenilen bölge tomografik olarak 3 boyutlu olarak görülebilir. Diş ve çene hastalıklarında, dental implant uygulamalarında ve çene-yüz bölgesi travmalarında sıklıkla kullanılır. Diş ve çene patolojilerinde ayrıntılı teşhis imkanı sağlar.
Dental Volümetrik Tomografi'nin en önemli kullanım yeri günümüzde çok yaygınlaşan dental implant uygulamalarıdır. Dental implantların yerleştirilmesinden önce dental volümetrik tomografi ile üç boyutlu olarak planlanma yapılması sonucunda hem ileride çıkabilecek komplikasyonların önüne geçilebilmekte, hem de hastaların estetik beklentilerine uygun cevap verilebilmektedir.
Son zamanlara kadar implant planlamasında sadece panoramik radyografiler kullanılırken artık gelişen teknoloji ile Dental Volümetrik Tomografi’ler de implant planlamasında önemli bir yer edindi. İmplant uygulanacak kemiğin dikey ve yatay miktarlarının üç boyutlu olarak görüntülenmesi hekimin operasyona daha güvenli bilgilerle başlaması ve böylece implant operasyonlarında ortaya çıkabilecek istenmeyen komplikasyonlarının azalmasını sağlamaktadır. Sinir zedelenmeleri, sinüs yaralanmaları, kemik miktarının eksikliğinden dolayı operasyonun gerçekleştirilememesi gibi durumların önüne geçilebilmektedir.
Dental Volümetrik Tomografi (DVT)lerdeki radyasyon oranlarının oldukça azaltılması ve maliyetlerinin düşürülmesi ile artık hemen hemen her diş ve çene operasyonundan önce rahatlıkla kullanılmaktadır.
Konik ışınlı dental tomografinin avantajları nelerdir?
• Medikal bir tomografiye göre 1/6 ye varan oranda daha az radyasyon ile çekim gerçekleşir.
•Verilen ışın miktarı sadece 0.7- ile 1.5 panoramik röntgen kadardır.
•Işınlar sadece hedef bölgeye gittiği için tiroid bezi, katarakt gibi hassas organlar radyasyondan korunur.
•Görüntü kalitesi ve çözünürlük çok yüksektir.
3D görüntüsü kullanmak size ne sağlar?
• Cerrahi öncesi kesin bir planlama sağlar.
• Tanı koyma süresini kısaltır.
• Hastaların tedavi kabulünü artırır; tedaviye karar verme süreci netleşir, karar daha hızlı ve net olarak alınabileceği için hastanın tedavisine daha kısa sürede başlanması sağlanır.
Volumetrik 3D görüntüden nasıl faydalanabilirsiniz?
• Panoramik ve periapikal röntgen ile pozlanamayan alanları görüntüleyebilirsiniz.
• Çekilen görüntüden koronal, aksiyal, sagital (cross section) kesitler alıp daha detaylı teşhis yapabilirsiniz.

• Implant planlama ve cerrahi klavuz hazırlama için yüksek çözünürlüklü data elde edebilirsiniz.
• Tedavi sonrası, protez sonrası ve implant sonrası postoperatif kontroller yapabilirsiniz.
• Dentomaksillofasiyal cerrahi uygulamaları öncesi tedavi planlaması yapabilirsiniz.
• Nazal kavite, insisiv kanal, maksiller sinüs ve mandibuler kanal gibi anatomik yapıları inceleyebilirsiniz.
• Kemik kalitesi ve yoğunluğunun ölçebilirsiniz.

• Çene kemiğinin konturlarını ve alveoler dokuyu inceleyebilirsiniz.
• Temporomandibular eklemi inceleyebilirsiniz.
• Kanal tedavilerinde apikal bölgeyi ve kanal dolgularını inceleyebilirsiniz.
• Gömük dişlerin kemik içindeki pozisyonlarının 3 boyutlu inceleyebilirsiniz.

• Kist ve tümör gibi patalojik oluşumları inceleyebilirsiniz.

• Kök kırıklarını inceleyebilirsiniz.


• Periodontal ve periapikal kemik defektlerini inceleyebilirsiniz
• Kemik grefti uygulamalarının planlanması ve takibini yapabilirisniz.
Sayfa başına dön